

Easy Age is free app for the estimation of bone age through the cervical vertebrae maturation methods.
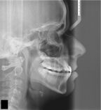
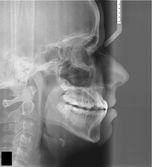
The changes that occur in the morphology of the cervical vertebrae C2, C3 and C4, present in routine lateral cephalograms can be used in the evaluation of bone maturation, in a reliable way and with the same clinical value of the assessment of the hand and wrist region.
Easy Age calculates bone age by the following methods:
- Hassel & Farman (1995)
- Mito et al (2002)
- Baccetti et al (2005)
Used in dentistry in orthodontics, jaw functional orthopedics, pediatric dentistry and implantology.
------------------------------------------
References:
1. Hassel B, Farman AG. Skeletal maturation evaluation using cervical vertebrae. Am J Orthod Dentofacial Orthop. 1995. 107(1):58-66.
2. Mito T, Sato K, Mitani H. Cervical vertebral bone age in girls. Am J Orthod Dentofacial Orthop. 2002. 122(4):380-85.
3. Baccetti T, Franchi L, McNamara JA Jr. The cervical vertebral maturation method for the assessment of optimal treatment timing in dentofacial orthopedics. Semin Orthod. 2005. 11(3):119-129.
EASY AGE uses cookies to improve your experience and to help us understand how you use our websites.